top of page
REABILITAÇÃO ORAL
A Reabilitação Oral é a especialidade odontológica que cuida da harmonia funcional e estética das arcadas dentárias. Com o passar dos anos, as pessoas podem sofrer desgastes irregulares nos dentes, algumas perdas dentárias e acumular fatores que podem levar a um desequilíbrio funcional, comprometimento das estruturas do aparelho estomatognático, assimetria facial, transtornos da ATM e, até mesmo, comprometer o funcionamento do aparelho digestivo. Portanto, a Reabilitação Oral busca restabelecer o alinhamento das arcadas dentárias e devolver harmonia funcional e estética ao sorriso.
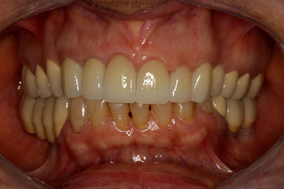
As imagens ilustram casos clínicos nossos:
Caso 1
.jpg)
.jpg)
.jpg)
_JPG.jpg)
_JPG.jpg)
_JPG.jpg)
_JPG.jpg)
.jpg)
Caso 2
.jpg)
.jpg)
.jpg)
.jpg)
Caso 3
.jpg)
.jpg)
.jpg)
.jpg)
.jpg)
Caso 4
.jpg)
.jpg)
.jpg)
.jpg)
Caso 5
.jpg)
.jpg)
.jpg)
.jpg)
.jpg)
.jpg)
bottom of page
