top of page
ODONTOLOGIA RESTAURADORA FUNCIONAL E ESTÉTICA
A odontologia possui recursos materiais para restaurar dentes desgastados, fraturados ou cariados com uma qualidade que a cada dia se torna ainda mais precisa. Diferentemente do que acontecia há poucas décadas, quando as restaurações metálicas eram amplamente utilizadas, hoje em dia as restaurações de resinas e porcelanas vieram para decretar definitivamente a saída do metal da odontologia. Respeitando adequadamente a indicação de uso para cada caso, levando-se sempre em conta a resistência e a beleza que desejamos obter com o material a ser utilizado, podemos conseguir resultados muito bonitos e duradouros. Afinal, não dá mais para falar em odontologia sem pensar em estética.
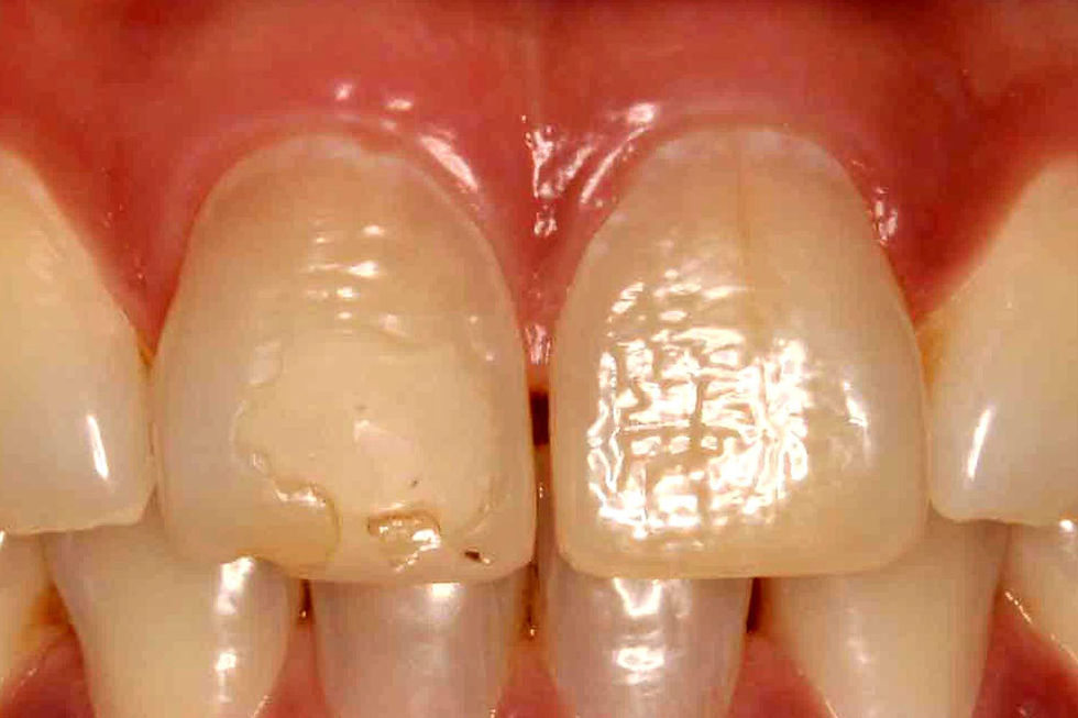
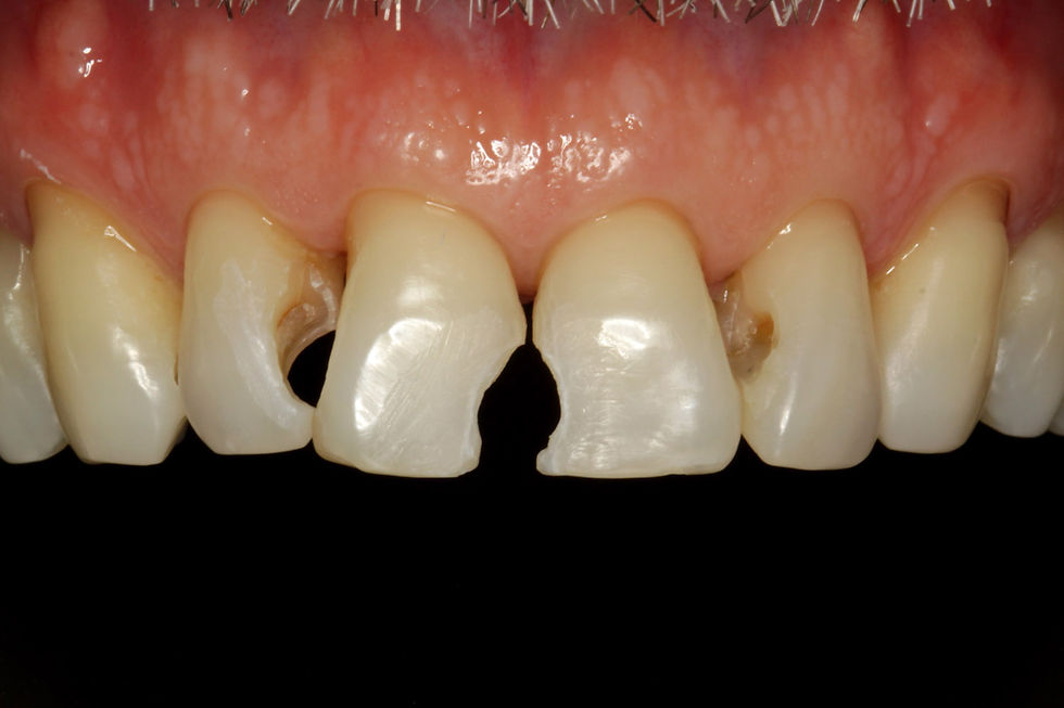
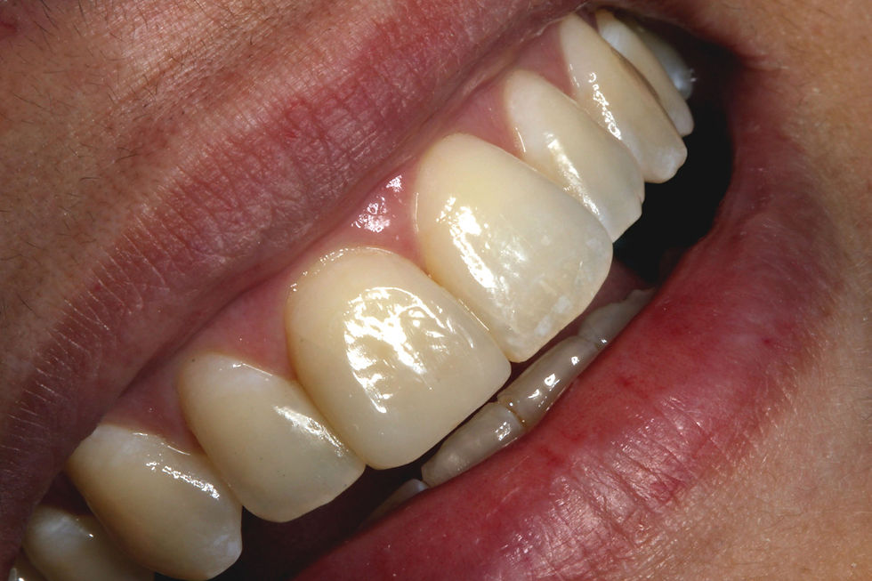
As imagens ilustram casos clínicos nossos:
Caso 1
.jpg)
.jpg)
.jpg)
.jpg)
Caso 2
.jpg)
.jpg)
.jpg)
.jpg)
Caso 3
.jpg)
.jpg)
.jpg)
Caso 4
.jpg)
.jpg)
.jpg)
.jpg)
Caso 5
.jpg)
.jpg)
.jpg)
Caso 6
.jpg)
.jpg)
.jpg)
Caso 7
.jpg)
.jpg)
.jpg)
Caso 8
.jpg)
.jpg)
.jpg)
Caso 9
.jpg)
.jpg)
.jpg)
.jpg)
Caso 10
.jpg)
.jpg)
Caso 11
.jpg)
.jpg)
.jpg)
.jpg)
Caso 12
.jpg)
.jpg)
.jpg)
.jpg)
Caso 13
.jpg)
.jpg)
.jpg)
.jpg)
.jpg)
Caso 14
.jpg)
.jpg)
.jpg)

Caso 15


.jpg)
.jpg)
Caso 16
.jpg)
_JPG.jpg)

Caso 17



Caso 18


Caso 19



bottom of page
